
近日,同济大学附属同济医院运动医学科、骨关节外科中心主任程飚接诊了一位专程从新疆慕名前来的半月板缺失患者。38岁的买买提因外伤致外侧半月板损伤,于外院行右侧膝关节镜下半月板切除术。半年前,患者右膝关节持续疼痛、肿胀,活动后加重,膝关节功能受限,影响日常生活。程飚团队接手这位患者后,经过仔细询问病情、体格检查等全面的临床评估以及相关影像学检查后,确诊为右膝外侧半月板缺失,内侧半月板代偿性损伤,并且由于半月板缺如引起了轻度关节退变。

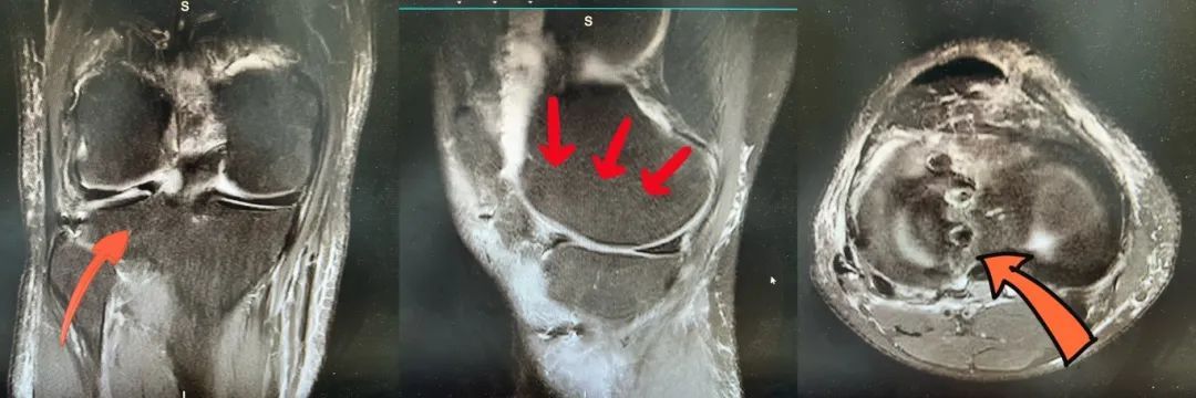
术前外侧半月板缺失,外侧间隙空虚
膝关节半月板是一块半月形的软骨组织,分为内外两部分,具有吸震、稳定和分担关节负荷的重要功能。半月板缺损可导致关节软骨磨损、关节炎和运动障碍等严重问题,极大减少膝关节寿命,影响生活,对于年轻患者来说尤甚。
针对该患者病情,程飚团队采用MRI等影像技术对患者的膝关节进行详细评估,确认半月板的损伤程度和缺损区域。鉴于患者的年龄、活动水平及半月板损伤的严重性,决定进行半月板移植手术,以最大程度地还原关节结构和功能。完成一系列准备工作后,于近期为新疆小伙进行了关节镜下同种异体半月板移植术。手术非常成功,术后第二天患者即佩戴支具下地自主活动,并由科室康复团队开展术后康复锻炼。

术后外侧半月板位置良好和股骨髁完全匹配
半月板移植术的原理
膝关节镜下同种异体半月板移植术的核心在于选择合适的半月板移植物,然后通过微创技术将其精准植入患者膝关节。手术过程中,医生需考虑半月板的解剖结构、血供和力学特性,以确保移植的半月板与患者关节协调一致。该手术技术要求相对较高,国内病例数相对较少。程飚团队致力于半月板移植术精准化、个体化,依据每位患者自身病情量身匹配半月板移植物。经过多年努力,已成功移植近200例,位居全国前列。
半月板移植的优势
1.生物相容性:移植材料与患者膝关节组织相容性高,减少排异反应的风险。
2.功能还原性:通过还原半月板的生理结构,恢复关节的正常功能,提高关节的稳定性和运动效率。
3.预防关节退行性疾病:移植手术有助于减缓关节软骨的磨损过程,降低患者未来发展为关节炎的风险。
半月板移植术的过程
1.术前评估:通过全面的体格检查和影像学检查,评估患者是否适合半月板移植手术。
2.移植材料选择:根据患者的具体情况选择合适的同种异体半月板移植物。
3.手术操作:通过膝关节镜下微创手术技术,精准地植入半月板移植材料,确保与患者膝关节良好适应。
4.术后监测:进行定期的术后监测,包括影像学检查和生理功能评估,并配合康复锻炼指导,以确保半月板移植的有效性和患者康复的顺利进行。
术后康复与注意事项
半月板移植手术后,患者需要进行个性化的康复计划。包括:
1.物理疗法:通过物理疗法锻炼,增强关节周围肌肉的力量和灵活性。
2.运动控制:避免剧烈运动,根据医生建议逐渐引入适度的运动。
3.饮食管理:通过科学膳食,促进软骨修复和整体健康。
4.定期复查:定期进行影像学检查,监测半月板移植的愈合情况。
半月板移植手术作为膝关节半月板缺损的高效治疗手段,为患者提供了新的生活希望。通过深入了解半月板移植手术的技术原理、优势及术后康复,不仅能更好地支持患者的治疗过程,也有助于推动膝关节疾病治疗的进步。新疆小伙的成功案例为广大需要此类手术的患者提供了信心和启示,展示了程飚主任团队利用现代医学科技在关节健康领域的精湛应用。

程飚
运动医学科、骨关节外科中心主任
主任医师、教授
博士和博士后研究生导师
专家门诊:周一、周二上午
特需门诊:周四上午
肩肘专病门诊:周一上午、周四上午
骨关节外科中心专病门诊:周一至周日
现任同济大学附属同济医院运动医学科、骨关节外科中心主任。上海医学会运动医学分会副主委,全国骨科关节镜学组委员,中国肩肘外科协作组创始委员,中华医学会运动医疗分会上肢学组委员,上海市医师协会关节镜学组副组长,上海市手外科专科委员,上海市运动医学会理事,中国矫形外科杂志编委,Arthroscopy中文版编委,上海市医疗事故专家鉴定委员会委员。
资料:同济大学附属同济医院
编辑:戴琳
点击下方了解更多
新春首个工作日,区四套班子领导深入基层一线开展大调研、大走访
同心聚力谱新篇!普陀“党建工作聚力年”部署启动会举办
新春开工,普陀以“高精准”服务助力上海持续打造国际一流营商环境
肩负新使命,展现新作为!奋力推进审计工作高质量发展
客流明显增长!寒假最后一天,普陀这里就诊很忙