
家住宝山区大场镇,68岁的市民李女士因“反复胸闷、气促伴双下肢水肿9个月”,而长期饱受心力衰竭症状困扰。数天前李女士的病情突然加重,来到家门口的仁济医院宝山分院心内科就诊。


经全面检查发现,李女士虽合并房颤、高血压、继发性肝功能不全等多种疾病,但导致其症状加重的“真凶”是极重度的三尖瓣关闭不全。由于三尖瓣解剖位置特殊、传统外科手术风险极高,这类患者常因无法耐受手术而只能接受保守治疗,三尖瓣也因此被称为“被遗忘的瓣膜”。

鉴于李女士病情危重,卜军教授会诊后决定采用目前国际先进的K‑Clip®三尖瓣环修复技术。于是一场高难度心血管微创手术在第一时间火速开启。
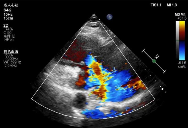
一根经颈内静脉输送的特制导管,将精巧的K‑Clip®夹合装置准确送入患者心脏。在超声实时引导下,手术团队通过微小的血管通路,对患者扩大的三尖瓣环进行精准修复。这是仁济医院宝山分院成功开展的K‑Clip®经导管三尖瓣环成形术,为一位极重度三尖瓣反流患者实施微创治疗的真实场景。

术后评估显示,患者三尖瓣反流程度从术前的极重度降至中度,临床症状得到显著改善。李女士目前也已在康复中。
记者:唐捷
编辑:孙宇瑶(实习)
资料:仁济医院宝山分院
*转载请注明来自上海宝山官方微信