

“现在肩膀活动自如,再也不用担心突然脱臼,终于能回归正常生活了。”在嘉定区安亭医院(瑞金医院安亭分院)接受肩关节手术后,患者林女士感慨道。此前,她的肩关节曾在日常活动中反复脱位,甚至简单抬手、睡觉翻身、打个哈欠都可能引发不适,严重影响生活与工作。

肩关节前盂唇撕裂

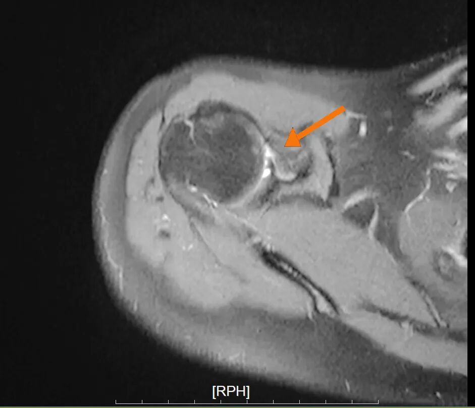
肱骨头骨缺损
据了解,林女士多年前在一次运动中导致肩关节脱位,当时复位后未觉异常,但之后数年内却发展成反复脱位,严重时一个月会脱位2到3次。近期,她来到安亭医院就诊,恰好赶上上海交通大学医学院附属瑞金医院骨科—运动医学中心副主任医师叶庭均下沉坐诊,经其检查后被诊断为“肩关节复发性脱位(肩关节不稳)”。
“很多患者认为脱位复位后问题就解决了,其实不然。”叶庭均医师解释道,“首次肩关节脱位常伴随关节盂唇撕裂或骨缺损,这些结构损伤无法自行愈合,若不及时处理,极易发展为反复脱位,并可能加速关节磨损。”

针对林女士的病情,叶庭均与安亭医院骨科团队制定了关节镜微创手术方案。该手术仅需在肩部开数个不足1厘米的小切口,通过内置摄像头与精密器械精准修复受损部位,具有创伤小、恢复快的优势。手术中,医生发现其肩关节前盂唇存在明显撕裂,并伴有肱骨头骨缺损,随即进行了盂唇修复与关节囊固定术,重建了肩关节稳定性。术后,林女士在骨科团队指导下逐步进行康复训练,肩关节功能恢复顺利,目前已重返日常生活。
叶庭均提醒,肩关节首次脱位后,对活动需求较高的年轻患者、骨质条件较差的老年患者等群体,应及时前往医疗机构进行全面评估。若检查显示存在结构性损伤,早期手术干预有助于避免反复脱位及后续关节退变。


术后康复效果
此次手术的顺利开展,也标志着瑞金医院与安亭医院在专科协作与医疗资源下沉方面取得进一步成效。通过专家定期坐诊、技术带教与联合手术,市民们在家门口即可享受三甲医院的优质诊疗服务。
时间:每月第一周星期六下午
地点:安亭医院门诊四楼专家门诊






点赞分享给身边的人