
前言
今年6岁的小晨(化名)原本是个活泼的孩子,虽然因先天性弱视视力不佳,但成长发育并未落后。然而一个月前,一次意外的跌倒后,家人发现小晨变得异常“爱喝水”。
“他几乎时刻抱着水杯,一天能喝光好几大壶水,得有6升!” 小晨的妈妈焦急地回忆道,“更奇怪的是,尿也特别多,晚上要起夜好几次。喝多了水还容易吐,一吐就是一大口。” 同时,小晨还偶尔会说头痛。

这背后隐藏着什么危机?近日,新华医院儿神经外科张晨冉教授团队,联合儿内分泌遗传科、影像科、儿血液肿瘤科和病理科等多学科,通过一次精妙的微创“锁孔”手术,成功为一名患儿明确诊断了罕见的垂体柄“朗格汉斯细胞组织细胞增生症”,为他后续的精准治疗铺平了道路。


那么,究竟是谁“入侵”了垂体柄?是炎症?还是肿瘤?如果是肿瘤,是生殖细胞瘤,还是朗格汉斯细胞组织细胞增生症(LCH)?这几种疾病的治疗方案截然不同,甚至涉及放疗和化疗。
患儿收治入院后,儿神经外科迅速启动了多学科会诊机制,儿神经外科、儿内分泌遗传科、影像科、病理科、儿血液肿瘤科的专家们齐聚一堂,共同探讨最佳诊疗方案。


为了明确诊断,必须获取病变的垂体柄组织进行病理分析。但儿童脑部手术风险极高,如何在精准取到活检组织的同时,最大限度地保护孩子的大脑功能、减少创伤?张晨冉主任团队给出了一个精妙的答案:眉弓锁孔入路手术。
该手术切口并不在头顶部,而是巧妙地隐藏在孩子的右侧眉毛里,长度仅约4厘米左右。医生通过这个“钥匙孔”大小的骨窗,借助显微镜和神经内镜的辅助,精准地抵达脑深部的鞍区。术中,医生在显微镜下清晰地分辨出视神经、颈内动脉等重要结构,并在增粗的垂体柄上小心翼翼地钳取了数块组织送检。术中冰冻病理结果提示“朗格汉斯细胞组织细胞增生症待定”。由于这类肿瘤对化疗敏感,为了避免过度切除对患儿造成不必要的神经功能损伤,手术团队果断决定,在明确病理后终止切除,将主要任务锁定在“精准活检”。整个手术过程顺利,出血极少。术后,小晨被安全送回监护室病房。
术后病理结果给出了最终答案:结合形态学及BRAF基因V600E突变检测,病变明确诊断为 “朗格汉斯细胞组织细胞增生症(LCH)”。
LCH是一种罕见的、以丝裂原活化蛋白激酶信号通路激活为主要分子特征的克隆性血液系统肿瘤、组织细胞肿瘤。可累及全身多个系统,垂体柄是其常见的中枢神经系统“靶点”之一。明确诊断后,小晨被转至儿血液肿瘤科,接受了针对性的化疗方案,真正实现了从诊断到治疗的“精准衔接”。
出院后3个月,小晨回来复查。让人欣慰的是,他恢复得非常好。不仅尿量在口服“弥凝”的控制下已恢复正常,而且眉弓处的手术切口愈合良好,疤痕非常淡,几乎看不出来,真正做到了 “社交无痕”。

小晨的妈妈激动地说:“从发现问题到确诊,再到手术,我们一家人经历了从绝望到希望的过程。感谢医院的每一位医生,不仅救了我的孩子,还用这么先进的技术,让他可以像其他孩子一样,自信地面对未来。”


专家解读
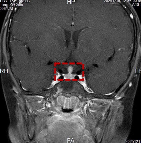
什么是“垂体柄增粗”?垂体柄是连接下丘脑和垂体的“生命线”,负责运输各种关键激素。当它因肿瘤、炎症等原因增粗时,这条“生命线”就会受阻,最常见的表现就是像小晨这样的“中枢性尿崩症”,也可能影响生长发育、性腺功能等。
什么是“朗格汉斯细胞组织细胞增生症”?这是一种可累及全身多系统的罕见疾病,临床表现多样,极易误诊。骨痛、皮疹、尿崩症都是其可能的“信号”。本例患儿的BRAF V600E基因突变,是LCH最常见的驱动基因,也为未来可能的靶向治疗提供了依据。
眉弓锁孔入路手术的优势有哪些?微创:切口小,隐藏在眉弓,美观,符合孩子未来的社交和心理需求。精准:借助先进设备,可直达脑深部病变区域,对脑组织牵拉小,损伤风险低。恢复快:相较于传统开颅手术,患者术后恢复更快,住院时间短。


科室介绍
上海交通大学医学院附属新华医院小儿神经外科为国家临床重点专科和教育部“211工程”重点学科和上海市重点学科重要组成部分,隶属于上海市“重中之重”临床医学中心——小儿外科中心,博士学位授权点,是国内最先进的小儿神经外科诊疗中心之一,国内最早的小儿神经外科进修医师培训基地。
在国内率先开展儿童脑肿瘤多学科联合诊疗模式并牵头国内60多家医疗单位创建儿童脑肿瘤协作组(CNOG),开展多项临床研究。在儿童脑肿瘤、脑积水、头颅畸形、痉挛性脑瘫、难治性癫痫、脊髓疾病、脑血管病及脑损伤等方面手术量及质量全国领先。
门诊预约请点击链接:
杨浦院区儿神经外科门诊
奉贤院区儿神经外科门诊


作者介绍


