“我这腿,是胖了还是病了?”老刘,66岁,身体硬朗。一个多月前,他发现两条小腿有点肿。起初他以为是自己最近伙食好,长胖了。可奇怪的是,这“胖”不太对劲——不光腿肿,脚踝一按一个坑,好半天起不来,而且他还长了快十斤。

老刘带着疑惑来到肾脏内科“水肿”门诊。医生问他,小便有变化吗?他想了想:“尿中泡沫是比以前多了,而且散不掉。”这句话,医生脑海中出现了第一个关键词:蛋白尿。

为什么不是糖尿病?
老刘有糖尿病,但控制得很好,空腹血糖一直在6以下。很多人,看到“糖尿病+蛋白尿”,第一反应就是“糖尿病肾病”。

但事实是如此吗?老刘糖尿病时间不长,也没有眼底等其他并发症,这么快就发展到大量蛋白尿、严重水肿,这个时间线不太符合常规的糖尿病肾病进程。

因此,医生脑海中有第二个关键词:排查。
果然,检查结果印证了医生的判断:血浆白蛋白只有21.5g/L(正常值40g/L以上),尿蛋白++,而血脂却高得离谱。这是典型的肾病综合征,但背后的“真凶”很可能不是糖尿病,而是另有他病。

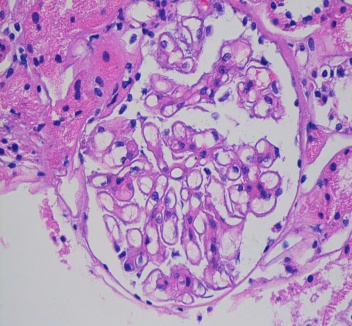
身体里藏着的“第三个关键词”
为了找到真凶,医生为老刘做了肾脏穿刺活检病理检查。病理结果是:膜性肾病。


这又是一个关键的转折点。膜性肾病分两种:一种是不明原因的“原发性”,另一种是其他疾病引起的“继发性”。对于老年人而言,排第一位的继发因素可能是肿瘤。

顺着这条线索排查,医生在老刘左侧锁骨上发现了一个肿大的淋巴结。这个位置的淋巴结,是肿瘤的“哨兵”。后续的PET-CT证实,老刘的左肾上长了一个早期的恶性肿瘤。

真相终于大白: 是这个早期的肾脏肿瘤,刺激免疫系统产生了异常反应,免疫复合物像垃圾一样堵塞了他的肾小球,导致蛋白质大量漏出,最终表现为水肿和蛋白尿。外科医生为老刘试行了手术及后续治疗。手术后,老刘的蛋白尿和水肿也逐渐消失了。
那么,作为普通人,我们能从这个故事里学到什么?
1. 水肿,不是“胖了”那么简单。 体重不明原因增加,双下肢水肿,同时发现小便泡沫增多且不易消散,请不要当成发胖,要及时去肾脏内科就诊。
2. 糖尿病患者的“尿蛋白”,不一定是糖尿病引起的。 尤其是病程短、血糖控制尚可的患者,新发的肾脏问题一定要多问一个“为什么”,不要理所当然。
3. 肾病有时是身体的“烟雾弹”。 就像老刘,肾病只是表面现象,背后可能藏着其他的健康危机。特别是中老年人的肾病综合征,医生会警惕潜在的风险。
对于老刘而言,塞翁失马耶知非福!他的腿肿,救了他一命。希望这个故事能提醒大家,关注身体发出的每一个异常信号,追本溯源,才能找到真相。

END
供稿:陈琪婕、张 楠
审核:王筱霞
校审:戴 云
预约就诊请关注公众号:
(部分图片源自网络,如有侵权请通知删除)
TONGREN HOSPITAL
欢迎关注同仁医院官方微信服务号