
38岁的张先生(化名)正准备接受第17次个性化疫苗注射,神情轻松、状态饱满的他丝毫看不出是与肾上腺皮质癌抗争近五年的晚期患者。“现在胃口很好,体重从120斤恢复到160斤,感觉免疫力也好多了!” 他笑着说,言语里满是感激,“肾上腺皮质癌是罕见病,没什么特效药,我很幸运来到这里,瑞金医院愿意花心思研发创新疗法,为我们找生路,这份付出太珍贵了!”
作为一名基层警察,连轴转的工作让张先生习惯了奔波忙碌,熬夜加班也日渐成为常态。2021年12月的一次常规体检发现左侧肾上腺2.1cm占位,成了打破他平静生活的惊雷。在当地接受手术后,病理提示为皮质腺瘤,忙碌的他便放下心来,未按规复查,不曾想到这场看似普通的手术,只是这场罕见病抗争的开始:2022年9月,体检再次发现左侧肾上腺占位,未及时诊治的病灶在一年间迅速发展,2023年8月的检查显示,肿瘤不仅复发,还出现了肝脏、腹壁、腹膜后淋巴结转移。他被确诊为肾上腺皮质癌 ,一种发病率极低的罕见内分泌恶性肿瘤。从此,张先生的生活只剩 “求医” 二字。2023年 10月,他再次手术切除左肾,可病情并未止步,术后病理显示肿瘤已出现脉管癌栓和转移,Ki67高达 50%,意味着肿瘤恶性程度极高;2024年1月,腹膜后淋巴结和肝右叶转移灶再次进展,他又接受了第三次手术,本以为手术能遏制病情,术后复查却依旧提示转移灶存在。
手术之外,靶向与免疫治疗的尝试也屡屡受挫。2024年2月起,张先生开始服用米托坦,并进行了消融术,病理证实为转移性肾上腺皮质癌,随后开启米托坦联合帕博利珠单抗、安罗替尼的治疗,帕博利珠单抗打满10周期,安罗替尼服用近一年,2025年1月复查,肝脏消融区结节仍在增大,腹膜后淋巴结持续进展,他不得不接受第二次CT引导下肝病损射频消融术。北京、上海辗转多家医院,三次大手术、两次消融治疗,多款药物轮番尝试,肿瘤却依旧在进展,“我跑遍了全国医院,试过了各种方法,那时候真的很绝望。”张先生讲道:“我每天都在网上查文献找新疗法,只要有一线希望我就愿意试试,可这是罕见病,愿意投入精力的医院和医生太少了。”
就在张先生走投无路之际,他得知瑞金医院内分泌代谢病学科针对晚期内分泌肿瘤,正在开展个体化新抗原肿瘤疫苗创新疗法。对他而言这无疑是黑暗中的最后一束亮光,他毅然决定试一试。

“肾上腺皮质癌是罕见的内分泌恶性肿瘤,晚期患者治疗手段匮乏,传统外科手术与药物治疗难以遏制肿瘤进展,张先生所患的ENSAT Ⅳ期更是已出现远处转移,临床治疗难度极大。个性化mRNA 肿瘤疫苗,正是为这类难治性罕见肿瘤量身打造的创新疗法。”治疗小组成员、内分泌代谢病学科主任医师叶蕾介绍,这款疫苗并非通用型,而是根据每位患者的肿瘤情况量身定制,其核心原理依托生物信息学和免疫学,先对患者肿瘤组织进行高通量测序,通过算法识别肿瘤特异性非同义突变确定新抗原靶点,再根据靶点合成专属mRNA分子,借助脂质纳米颗粒递送至患者体内,指导合成肿瘤特异性抗原肽,诱导免疫系统精准识别并清除癌细胞,实现精准治疗的同时,也为预防肿瘤复发提供了新路径。
“以患者为中心,以医学创新为各类疑难罕见病患者开辟生命通道、为百姓健康保驾护航,一直是我们坚守的初心和不懈的追求。”内分泌代谢病学科王卫庆主任说。2023年5月,由她牵头的“mRNA-0523-L001(个体化新抗原肿瘤疫苗)”项目通过医院涉及人体的科研伦理审批,同年11月在ClinicalTrial完成注册并迎来首例患者。这支由10位医护组成的团队,为患者打造了一对一专属诊疗服务,每位医生固定负责患者全程诊疗,从方案制定到疫苗注射、定期复查,每个环节都事无巨细。
2025年4月,张先生接受了第一次疫苗注射,因彼时身体虚弱,并未出现预期的发热反应,这让他满心焦虑:“是不是药效不好?” 作为他的专属负责医生,内分泌代谢病学科武鲁铭医生第一时间耐心安抚:“每个人的身体反应不同,我们会持续监测各项指标,及时调整方案。” 此后,张先生每三周注射一次,期间但凡有血液指标等疑问,微信咨询武医生总能得到快速回复,这位专属的 “家庭医生”,让他倍感安心。原计划九周期的治疗,因肿瘤持续缩小得以延续,完成16次注射后,他的靶病灶明显缩小,全身无新发病灶,ACTH、皮质醇等激素水平经替代治疗趋于稳定。这场创新治疗,为肾上腺皮质癌的精准治疗开辟了新路径,也让张先生重燃生活希望,他坦言:“每次打针都是一次胜利,能陪着孩子慢慢长大,就是我最大的心愿。”
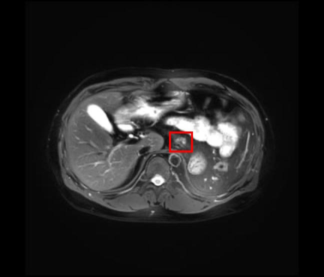
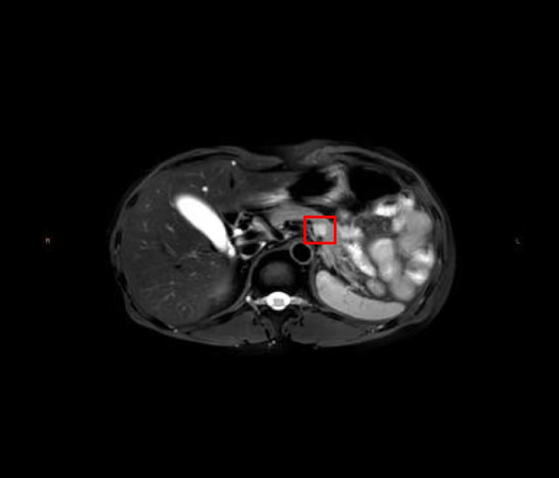
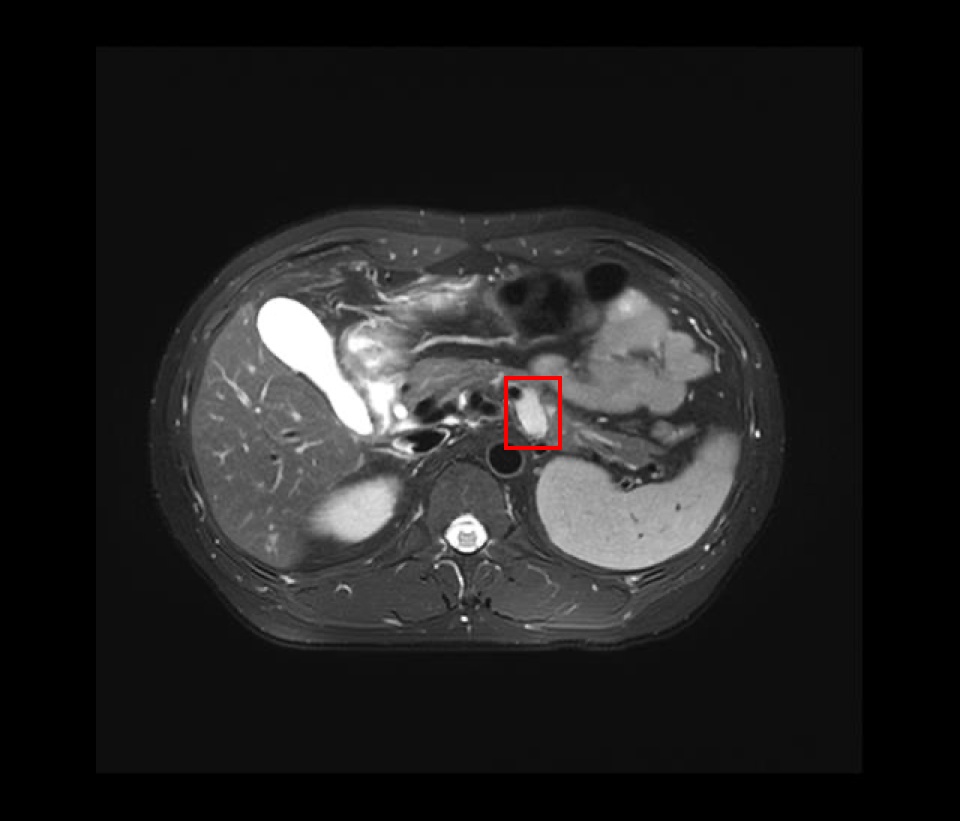
治疗前、疫苗前/后 影像图
个体化新抗原肿瘤疫苗是瑞金医院与信谱生物合作研发的精准治疗手段,依托生物信息学和免疫学原理,通过mRNA 模板诱导免疫系统精准识别并清除癌细胞,为精准医疗和肿瘤复发预防提供了新路径。这款疫苗为定制化疗法,除了晚期肾上腺皮质癌,甲状腺髓样癌,在携带KRAS G12V突变的晚期胰腺癌、非小细胞肺癌患者中也观察到显著肿瘤缓解,还能延缓胰腺癌术后无法耐受化疗患者的疾病复发。据了解,目前“mRNA-0523-L001(个体化新抗原肿瘤疫苗)”正在进行中,已有包括张先生在内的众多晚期肿瘤患者从中获益。标准治疗失败的晚期内分泌肿瘤,且目前临床上无有效治疗手段的患者均可前往门诊进行评估。
咨询方式
1,瑞金医院内分泌与代谢病学科门诊
2,电话联系:武医生/17721447907
欢迎转发点赞
门诊信息
内分泌代谢病学科
王卫庆 主任医师
国际医疗部:周二上午
叶蕾 主任医师
专家门诊:周五下午
武鲁铭 主治医师
肾上腺专病门诊:周二下午
文、编丨祁洁
