近日,广东深圳
女童晓月(化名)反复高烧
其父母多次用75%酒精擦拭和湿敷
导致孩子急性酒精中毒
出现了严重代谢性酸中毒
大脑功能受损
被送入重症监护室(ICU)
引发关注
女童反复高烧
父母用75%酒精擦拭和湿敷
这天晚上,快5岁的晓月(化名)反复高烧,吃了退烧药也不见效。夫妻俩想起了老家流传的“偏方”:酒精擦身。
他们翻出家中的75%酒精喷雾,将棉片喷湿后,敷在孩子的额头、腋窝、肚子上,再用酒精棉片擦拭身体和四肢。
孩子体温一升高,他们就用酒精湿敷和擦身。没想到,忙活了一天,晓月高烧未退,还吐了四五次。她的脸色苍白,尿少,整个人也蔫蔫的。夫妻俩赶紧将孩子送往深圳儿童医院。
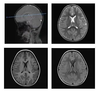
晓月在补液治疗时,渐渐出现嗜睡、意识模糊、双眼上翻凝视等症状,最后竟然陷入昏迷!紧急抢救后,她被送入重症监护室(PICU)。检查发现,她急性酒精中毒,出现了严重代谢性酸中毒、大脑功能受损。

检查发现,患儿出现了颅内多发病变
经过治疗两天后,晓月醒了。一周后,她被转入神经内科继续康复治疗。近日复查时,晓月除了语速稍慢,没有其他问题。
“想不到,
酒精擦身退烧,危害这么大!”
其实,这还算幸运的。
用这种酒精擦身退烧,
还闹出过人命:

为什么不建议
用酒精擦身降温?
医生表示
酒精挥发确实是能带走热量
但是没挥发的部分
会进入到孩子的皮肤
蓄积后可能会导致急性酒精中毒
严重的会出现呼吸衰竭甚至死亡
“孩子和成年人相比皮肤较为薄嫩,而且孩子当时处于发热状态,代谢较为旺盛,毛细血管和皮肤毛孔都是扩张状态,通过大面积高浓度的酒精湿敷皮肤后,是可以通过孩子皮肤吸收入血的。”
医生提醒:
这4种退烧法也千万别试!
深圳儿童医院急诊科医生表示
孩子发烧时
捂汗、退烧针、药物灌肠、捏痧刮痧等
也是不可取的方式
▼
01 捂汗
小时候只要发烧,老人都会出主意,“捂一捂,出一出汗就好了”。
其实,这经不起推敲。捂着会导致热量散不出去,反而容易使体温升高。
就算捂出了汗,捂汗退烧的功效也只是暂时的,孩子丢失大量的汗液,反倒可能造成脱水,甚至引起捂热综合征,严重可导致死亡。
02 退烧针
常用的退烧针,就是柴胡注射液和注射用赖氨匹林。
但几年前,这两者就被药监局“点名”了。
一些孩子注射赖氨匹林后,出现了惊厥、呕吐、昏迷等副作用,严重时可直接导致死亡。
早在2018年,国家食品药品监督管理局就曾发布公告:3个月以下幼儿,禁用注射用赖氨匹林,16岁以下儿童慎用。
而注射柴胡之后,容易引起过敏等副作用。
03 药物灌肠
“快速退烧,无创伤无痛苦!”一些无良小诊所,会推荐药物灌肠。灌肠过程中,药物剂量把控不好,会严重损伤孩子的肝肾。操作不当,还可能造成肠穿孔,甚至导致更严重的后果。
04 捏痧/刮痧
宝宝皮肤娇嫩,用这种方法很容易造成软组织挫伤。
而且对于不掌握医学常识的家长来说,贸然进行所谓的“捏痧”,只会对娃的身体造成伤害。
孩子发烧如何正确物理降温?
科学的退烧方法其实很简单,就这3招:
●科学护理
38.5℃(有热性惊厥史的孩子为38℃),是一个可以给孩子喝退烧药的参考值。
但是,如果孩子精神状态好,就算体温到38.5℃了,也不是必须用药。可以让孩子多喝水,通过自然地出汗、排尿带走身体的热量。
也可以提高室内温度后,适当减少孩子的衣物,帮助孩子的身体散热。
●口服退烧药
如果烧到了38.5℃,也没啥精神,那就得喝退烧药了。(3个月以下宝宝发烧,不建议自行用退烧药,应及时就医)。
儿童口服退烧药有两种:泰诺林(对乙酰氨基酚),美林(布洛芬)。
3个月以上的宝宝,推荐选用泰诺林;6个月以上,美林/泰诺林,选一种用就可以了。
但是,一定要记住:退烧药不推荐混着吃,也不要加量吃。
首先要注意剂量,建议遵医嘱或按照说明书要求使用;其次,要注意用药间隔。同一退烧药应间隔4~6小时,一天不能超过4次。
●退热栓
如果孩子对口服退烧药不耐受,也可以考虑选择使用退热栓。
常见的栓剂有对乙酰氨基酚栓剂、小儿布洛芬栓。不过,要注意的是,要避免口服剂和肛栓剂同时使用。保险起见,这个操作最好在医生指导下进行。
编辑:史笑雨
资料:广州日报、科普中国微信公众号
封面图:图虫创意